理论授课教案

第四章 陆源碎屑岩

作者:| 来源: | 时间:2018-07-09

第四章     陆源碎屑岩... 1

第一节     碎屑岩的物质成分... 2

一、概述 

二、碎屑成分(重点)... 3

三、填隙物成分(重点)... 5

四、化学成分(简介)... 6

第二节  碎屑岩的结构... 6

一、碎屑颗粒的结构... 7

二、填隙物的结构(重点)... 9

三、胶结类型及颗粒支撑性质... 10

四、碎屑岩的孔隙结构... 10

五、粒度分析... 10

第三节  砾岩和角砾岩... 13

一、一般特征... 14

二、砾岩和角砾岩的分类... 14

三、主要成因类型及实例(重点)... 15

四、研究方法和意义... 17

第四节 砂岩及粉砂岩... 17

一、砂岩的一般特征... 18

二、砂岩的分类... 19

三、石英砂岩类... 21

四、长石砂岩类... 22

五、岩屑砂岩类... 23

六、杂砂岩... 23

七、粉砂岩... 24

八、砂岩的油气储集性能(简介)... 24

九、砂岩的研究方法及意义(自学为主)... 24

第五节 粘土岩(Clayrocks) 24

一、概述... 25

二、粘土岩的主要物理特性(简介)... 25

三、粘土岩的物质成分... 25

四、粘土岩的结构、构造和颜色... 28

五、粘土岩的分类... 28

六、粘土沉积物的沉积后变化(重点)... 28

七、粘土岩的研究方法(简介)... 29

 

 

 

第四章  陆源碎屑岩

Clastic rocks of terrigenousorigin

 

第一节           碎屑岩的物质成分

Composition of clasticrocks

 

学时4学时(其中理论教学2学时、实验2学时)

基本内容

①基本概念:矿物碎屑、岩屑、填隙物、杂基、胶结物、自生矿物、后生矿物、他生矿物、继承矿物

②碎屑岩的主要碎屑成分、填隙物成分和化学成分

重点碎屑岩中碎屑颗粒与填隙物的基本概念及相互关系

难点胶结物与杂基的区别、矿物碎屑与岩屑的异同

教学思路先介绍组成碎屑岩的基本组成部分以及各组成部分之间的关系,然后重点讲解碎屑颗粒、填隙物(杂基、胶结物)的成分特征。对矿物碎屑与岩屑、杂基与胶结物之间的异同要重点讲解。

主要参考书:

①冯增昭主编《沉积岩石学》上册第三章,石油工业出版社,1993.

②曾允孚、夏文杰主编《沉积岩石学》第六章,地质出版社,1986.

H 布拉特等著,1972,《沉积岩成因》翻译组译校,1987:沉积岩成因,第188-219页,科学出版社。

F J Pettijohn, 1963Data of geochemistry, chemical composition of sandstones excluding carbonate and volcanic sands, U. S. Geol , Sur, prof, paper440-S, p. 21

复习思考题

试述碎屑岩的碎屑物质、非碎屑物质的主要类型和特征及研究意义?

②碎屑岩中来自不同母岩的石英各有什么特点?

在砂岩薄片中岩屑的识别标志。

试述碎屑岩中碎屑颗粒、杂基、化学胶结物的含义;并从①在岩石中分布状况和所起的作用,②搬运方式,③沉积方式及其控制因素,④沉积时水动力状况,⑤形成阶段等五个方面比较它们特点。

教学内容提要

一、概述

1. 按照成因,碎屑岩的组成部分包括: 陆源碎屑物质、化学沉淀物质。

2. 按产出形式,碎屑岩的基本组成部分包括:碎屑颗粒(矿物碎屑和岩石碎屑)、填隙物(杂基和胶结物)、孔隙。

 

 

 

 

 

 

 

 

 

 

二、碎屑成分(重点)

(一)矿物碎屑

1. 石英

石英抗风化能力很强,既抗磨又难分解,具油脂光泽,不同来源的石英特点不同。

 

 

 

 

 

 

 

 

 

 

 

 

 

 

 

 

 

 

 

 

 

 

 

 

 

 

 

 

 

 

2. 长石

长石在碎屑岩中的含量少于石英,主要来于花岗岩和花岗片麻岩。

              3.云母

              4.重矿物

密度大于2.86的矿物称为重矿物,它们在岩石中含量少,一般不超过1%,其分布的粒度受重矿物的晶形大小,相对密度及硬度的控制,可分为稳定重矿物及不稳定重矿物两类。

 

 

 

 

 

 

 

 

 

(二)岩屑

1. 花岗岩岩屑

花岗岩是地壳上分布最广泛的一类岩浆岩,主要出现在砾岩中,具有花岗结构。

2. 喷出岩岩屑

喷出岩岩屑在砂岩中含量比较丰富,常见的是中、酸性喷出岩岩屑。

3. 片麻岩、片岩岩屑

4. 脉石英岩屑

              5.石英砂岩岩屑

石英砂岩岩屑以具有碎屑结构为特点,沉积石英岩岩屑最常见为自生加大胶结。

              6.燧石

              燧石的化学性质稳定,结构致密,因此是属抗风化能力较强的一类岩屑。

 

 

 

 

 

 

 

 

 

碎屑岩中颗粒大小与碎屑成分之间的关系

三、填隙物成分(重点)

(一)杂基

1.         概念

杂基是碎屑岩中细小的械机成因组分,其粒级以泥为主,可包括一些细粉砂。

2.         成分

杂基的成分最常见的是高岭石、水云母、蒙脱石等粘土矿物,有时见有灰泥和云泥。

3.         研究意义

杂基的含量高低表明沉积环境中水动力条件的强弱,反映搬运介质的流动特性,和碎屑组分的分选性,因而也是碎屑岩结构成熟度的重要标志,这正是我们认识杂基重要性的意义所在。

4.         杂基的识别标志

主要是依据结构来识别杂基。

(二)胶结物

1. 概念:胶结物是碎屑岩中以化学沉淀方式形成于粒间孔隙中的自生矿物。

2. 硅质胶结物:主要是石英、玉髓和蛋白石。

3. 碳酸盐胶结物:主要为方解石和白云石。

4. 其它类型的胶结物:赤铁矿、褐铁矿、硬石膏、石膏、黄铁矿、海绿石、绿泥石。

四、化学成分(简介)

 

 

第二节  碎屑岩的结构

Textures of clasticrocks

学时4学时(其中理论教学2学时、实验2学时)

基本内容

①基本概念:粒度、球度、圆度、杂基、原杂基、正杂基、淀杂基、外杂基、假杂基、胶结物、非晶质结构、隐晶质结构、显晶粒状结构、嵌晶粒状结构、自生加大结构、胶结类型、基底胶结、孔隙胶结、接触胶结、镶嵌胶结、平均粒径、中值、标准偏差、偏度、尖度、C-M

碎屑岩的基本结构组分及其含义、粒级的划分方案、粒度的分类及命名、f值的定义及换算、胶结物的结构分类、碎屑岩的支撑性质及胶结类型、粒度分析资料的整理及其应用

重点与难点粒度的概念及划分方案、杂基的概念及其分类、胶结物的概念及其结构分类、碎屑岩的支撑性质及胶结类型、粒度分析资料的应用

教学思路①在前一章的基础上,从结构上介绍碎屑岩的组分;②分别讲解碎屑颗粒和填隙物(杂基、胶结物)的结构特征,对粒级的划分和命名要重点讲解;③通过大量图片来讲解碎屑岩的支撑性质及胶结类型;④简要介绍对派生结构组分—孔隙;⑤对粒度分析的过程进行简要介绍,重点讲解粒度分析资料的处理与应用

主要参考书:

①冯增昭主编《沉积岩石学》上册第五章,石油工业出版社,1993.

②曾允孚、夏文杰主编《沉积岩石学》第六章,地质出版社,1986.

③何幼斌编《Sedimentary Petrology》(英文辅助教材)第三章,江汉石油学院,2003.

复习思考题

①碎屑岩有哪四种基本结构组分?试述每种结构组分的含义。

②碎屑岩的碎屑颗粒结构包括哪些内容?对它们的研究各具什么意义?

③碎屑岩如何按颗粒分类命名?其对应的岩石结构名称是什么?

碎屑岩的杂基可分哪几种?每种杂基的识别标志是什么?何种杂基才能反映沉积时流体的粘度和密度?

在碎屑中常见的胶结物成分有哪些?它的最大含量界限是多少?常见的胶结物结构类型有哪些?请举出相应的胶结物成分。并用图表示。

何谓碎屑岩的结构成熟度?它主要取决于哪些因素?结构成熟度与矿物成熟度有何差别?

何谓碎屑岩的胶结类型?它可分哪四种?试绘图表示。并简述它们的各自特点、成因及环境意义。

何谓粒度分析?对它的研究有何意义?

如何用粒度分析资料通过图算法以福克和沃德的公式求各粒度参数?它们的地质意义是什么?

何谓C-M图?牵引流和重力流(以浊流为例)的典型CM图有何显著差别?

教学内容提要

一、碎屑颗粒的结构

(一)粒度(重点)

           1.粒度的概念:粒度是指碎屑颗粒的大小,是碎屑颗粒最主要的结构特征。

           2.粒级的划分:

十进制

2的几何级数制

颗粒的直径,mm

粒级划分

颗粒的直径,mm

1000

1000-100

100-10

10-1

巨砾

粗砾

中砾

细砾

巨砾

中砾

砾石

卵石

256

256-64

64-4

4-2

1-0.   5

 

0.5-0.25

 

0.25-0.1

粗砂

 

中砂

 

细砂

极粗砂

粗砂

中砂

细砂

极细砂

2-1

1-0.5

0.5-0.15

0.25-0.125

0.125-0.0625

0.1-0.            05

 

0.05-0.01

粗粉砂

 

细粉砂

粉砂

粗粉砂

中粉砂

细粉砂

极细粉砂

0.0625-0.0312

0.0312-0.0156

0.0156-0.0078

0.0078-0.0039

0.01

 

粘土(泥)

 

0.0039

           3.碎屑岩的粒度分类及命名:三级命名法则

(二)球度

球度是用来衡量一个颗粒接近于球体的程度,颗粒的三个轴愈接近相等,其球度愈高。

(三)形状

颗粒的形状是由颗粒中ABC三个轴的相对大小决定的。可分为圆球体、椭球体、扁球体、长扁球体。

(四)圆度

圆度是指碎屑颗粒的原始棱角被磨圆的程度,它是碎屑的重要结构特征之一。

 

 

 

 

 

 

 

 

 

 

 

  颗粒形状分类

 

 

 

 

 

 

 

碎屑颗粒的圆度分级

 

(五)颗粒的表面结构

一般表显为磨光程度及表面刻蚀痕迹两个方面。

二、填隙物的结构(重点)

(一)杂基

杂基是碎屑岩中与粗碎屑岩一起沉积下来的细粒填隙组分,粒度一般小于0.03mm,它们是械机沉积产物而不是化学沉淀组分,可分为原杂基、正杂基、假杂基。

(二)胶结物

胶结物是化学成因物质,其特点是由晶体大小、晶体生长方式及重结晶程度等决定的。可分为:

非晶质及隐晶质结构

显晶粒状结构

嵌晶结构

自生加大结构

 

 

 

 

 

 

 

胶结物的结构类型

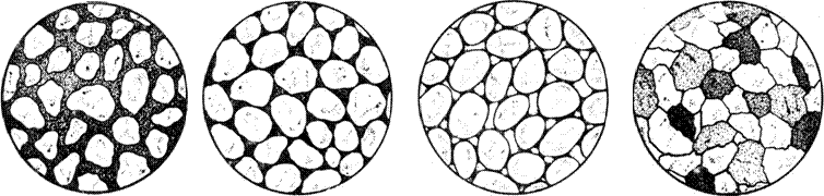
三、胶结类型及颗粒支撑性质

(一)胶结类型概念

(二)胶结类型分类(重点)

1. 基底胶结:

2.孔隙胶结:

3.接触胶结:

           4.镶嵌胶结:

 

 

 

 

 

 

 

四种胶结类型素描图

(三)碎屑颗粒支撑类型

主要分为两类,即杂基支撑结构和颗粒支撑结构。

四、碎屑岩的孔隙结构

五、粒度分析

(一)粒度分析方法的选择

1. 筛析

2. 沉降分析

3. 薄片粒度分析

(二)粒度资料图解

1. 直方图和频率曲线

2. 累积曲线

3. 概率值累积曲线

 

(三)粒度参数(重点讲解计算与应用)

1. 平均粒径和中值

2. 标准偏差和分选系数

3. 偏度

4. 峰度(尖度)

(四)粒度分析在区分沉积环境中的应用(重点)

1. 粒度判别函数及成因图解

 

 

 

 

 

 

 

 

 

 

 

 

 

 

 

 

 

2. 用概率累积曲线区分沉积环境

 

 

 

 

 

 

 

 

 

 

 

 

3. C-M图解

 

4. 结构参数散点图解

 

 

第三节  砾岩和角砾岩

(Conglomerates and Brecias)

学时2学时(其中理论教学1学时、实验1学时)

基本内容

       基本概念:砾岩、角砾岩、粗碎屑岩、单成分砾岩、复成分砾岩、底砾岩、层间砾岩、滨岸砾岩、河成砾岩、洪积砾岩、冰川角砾岩、滑塌角砾岩、岩溶角砾岩。

       基本原理:砾岩和角砾岩的各种分类方案、砾岩和角砾岩的主要成因类型及其特征、砾岩和角砾岩的形成条件及其特征、砾岩和角砾岩的研究意义和研究方法。

重点砾岩和角砾岩的基本概念、砾岩和角砾岩的主要成因类型及其特征

教学思路本章开始介绍碎屑岩的主要岩石类型,本章为粗碎屑岩——砾岩和角砾岩。首先介绍砾岩和角砾岩的概念及宏观特征,然后介绍砾岩和角砾岩的分类、不同类型砾岩的特征及形成条件,最后简要介绍砾岩和角砾岩的研究意义和研究方法。

主要参考书:

①冯增昭主编《沉积岩石学》上册第六章,石油工业出版社,1993.

②曾允孚、夏文杰主编《沉积岩石学》第六章,地质出版社,1986.

③何幼斌编《Sedimentary Petrology》(英文辅助教材)第五章,江汉石油学院,2003.

复习思考题

试述砾岩和角砾岩的五种分类方案及命名原则

试述底砾岩和层间砾岩的特点、成因及环境意义

试总结滨岸砾岩、河成砾岩、洪积砾岩、冰川角砾岩、滑塌角砾岩和岩溶角砾岩的异同点

教学内容提要

一、一般特征

(一)  基本概念(重点)

砾岩和角砾岩合称粗碎屑岩,习惯上常常把>2mm的碎屑岩称为粗碎屑岩。

(二)  基本特征

1)主要由砾岩和角砾岩组成

2)作为填隙物的基质总是存在的

3)常见大型斜层理及递变层理

4)一般搬运距离比较近

 

 

 

 

 

 

 

 

 

 

 

云南上二叠统砾岩

二、砾岩和角砾岩的分类

(一)根据砾石圆度的分类

可分为砾岩、角砾岩。

(二)根据砾石大小的分类

细砾岩、中砾岩、粗砾岩、巨砾岩。

(三)根据砾石的成分分类

单成分砾岩和角砾岩、复成分砾岩和角砾岩。

(四)根据砾岩在剖面中的位置的分类

底砾岩、层间砾岩、层内砾岩。

(五)成因分类

滨岸砾岩、河成砾岩、洪积砾岩、冰川角砾岩、滑塌角砾岩及岩溶角砾岩。

 

 

 

 

 

 

 

 

 

 

 

 

各种成因砾石的机械组分直方图

三、主要成因类型及实例(重点)

(一)滨岸砾岩

主要是在波浪作用的滨岸地带,由河流搬运来的砾石沿海岸长期改造而成,其特点是砾石成分较单一,以稳定组分为主。

(二)河成砾岩

常见于山区河流,多位于河床沉积的底部,砾石成分复杂,由于搬运不远,故不稳定组分仍然存在。

(三)洪积砾岩

由山区洪流在流出山间峡谷进入平原时,流速骤减,致使带出的碎屑物质快速堆积而成。

(四)冰川角砾岩

由冰川作用形成,成分复杂,常见新鲜的不稳定组分,分选极不好,大的砾石和泥砂混杂。

(五)滑塌角砾岩

在地形陡峻地区的边界地带,常常由于某种地质营力作用发生崩塌,或沿斜坡发生地滑,从而形成滑塌角砾岩。

(六)岩溶角砾岩

其形成下伏物质(如膏盐层)被溶解而移去以及上覆地层的坍塌作用有关,尤其是石灰岩的坍塌。

六种不同成因砾岩的特征比较

 

滨岸砾岩

河成砾岩

洪积砾岩

冰川角砾岩

滑塌角砾岩

岩溶角砾岩

在波浪作用的滨岸地带,由河流搬运来的砾石沿海()岸长期改造而成

山区河流,河床沉积的底部滞留沉积

山区洪流流出山间峡谷进入平原时,流速骤减,致使带出的碎屑物质快速堆积而成

由冰川作用形成的冰碛岩

地形陡峻地区的边界地带或斜坡,由于重力等作用发生崩塌或地滑而形成的角砾岩

下伏物质(如膏盐层)被溶解而移去、上覆地层的坍塌作用而形成的

砾石成分

较单一,以稳定组分为主

复杂,有不稳定组分

复杂

复杂,常可见新鲜不稳定组分

复杂

单一

成分成熟度

分选性

较差

很差

极差

很差

毫无分选

磨圆度

极好

中等-

多呈棱角状,砾石表面常可见丁字形擦痕

棱角状与磨圆砾石可同时存在

高度棱角状

填隙物

杂基少,胶结物多

杂基较多

杂基多

杂基多

杂基多

杂基多

结构成熟度

较低

沉积构造

砾石扁平面向海()倾斜,长轴平行海()

可见交错层理,砾石叠瓦状排列,最大扁平面向源倾斜

砾石扁平面向海倾斜,底部常可见冲刷-充填构造

层理不清,呈块状

滑塌构造

 

生物化石

滨海砾岩中常含不完整海相生物化石

少见,可见大的硅化木化石

少见

少见

少见

成层性好,层位稳定,呈席状延伸或呈透镜状,常分布于海侵层序的底部

成层性差,常呈透镜状产出,分布于河流沉积层序的底部

厚度大,可达数千米以上,呈透镜状

 

分布局限,厚度变化大,呈透镜状

分布广泛,在地层上有固定层位,一般在地层深处被石膏层所取代

形成环境

滨海、滨湖

河床底部

构造活动性强的山区山麓洪积扇

受冰川作用的地区

地形陡峻的地区或斜坡(陆上或水下)

地下水活动的石灰岩地区或膏盐层发育区

 

四、研究方法和意义

(一)研究方法

            1.野外研究

    2.室内研究

(二)研究意义

    1.常作为沉积间断的标志和划分地层的依据。

    2.有助于了解地质发展历史,如地壳运动情况、古气候条件、冰川的存在等。

    3.在古地理研究中具有重要的作用。

    4.砾岩本身就是矿石。

    5.未胶结或中等胶结的砾岩常常是含水层,也可以含油、气。

 

 

第四节 砂岩及粉砂岩

(Sandstones and siltstones)

学时9学时(其中理论教学4学时、实验5学时)

基本内容

砂岩的一般特征,砂岩的分类,各类砂岩(石英砂岩、长石砂岩、岩屑砂岩、杂砂岩)的特点及其形成环境,粉砂岩的一般特征及粉砂岩的成因,通过砂岩资料研究物源区构造背景。

重点与难点砂岩的分类,石英砂岩、长石砂岩、岩屑砂岩、杂砂岩的主要特征及其形成条件。

教学思路首先介绍砂岩的概念及其基本特征,然后重点讲解砂岩的分类,并且较详细地介绍石英砂岩、长石砂岩、岩屑砂岩、杂砂岩的主要特征及其形成条件,最后简要介绍粉砂岩的一般特征及粉砂岩的成因、砂岩的研究方法及其与油气的关系。

主要参考书:

①冯增昭主编《沉积岩石学》上册第七章,石油工业出版社,1993.

②曾允孚、夏文杰主编《沉积岩石学》第六章,地质出版社,1986.

③何幼斌编《Sedimentary Petrology》(英文辅助教材)第五章,江汉石油学院,2003.

F J 佩蒂庄,F E 波特,R 西弗著,1972,李汉瑜译,1977,砂和砂岩,第五章,第六章。科学出版社。

F J Pettijohn, Sedimentary rocks, p.195-259,  Chapter 7. 1975.

复习思考题

试述克里宁(1948)、福克(1954, 1968)和裴蒂庄(1975)的砂岩分类方案和所考虑的因素。并评述它们的优缺点

评述本教材中砂岩的分类原则、分类依据和分类方案。

总结对比石英砂岩类、长石砂岩类、岩屑砂岩类、杂砂岩类在成分、结构、构造、沉积环境、形成条件(母岩、气候、大地构造)等方面的特点。

砂岩中长石含量多寡有何大地构造意义

⑤在各种现代沉积环境中,极少见到石英含量占95%以上的纯净砂,但在古代形成的沉积岩中石英含量占95%以上者屡见不鲜,试解释这一现象。

试述杂砂岩的沉积条件。浊流沉积中主要是砂屑岩还是杂砂岩

试对粉砂岩的一般特征作出成因方面的解释

教学内容提要

一、砂岩的一般特征

(一)砂岩的定义

主要由砂(2-0.1mm的陆源碎屑颗粒),称砂岩。在砂岩中,砂的含量应>50%

(二)砂岩的特点

1.成分以石英为主,其次是长石和各种岩屑。

2.砂岩有砂粒碎屑、基质及胶结物三部分组成。

3.化学成分极不一致,主要取决于碎屑组分和胶结物成分。

4.砂岩成熟度高低差别较大。

二、砂岩的分类

(一)砂岩分类的现状(简介)

           1.三组分体系(简介)

                  主要介绍克里宁(1948)的分类和福克的分类

 

 

 

 

 

 

 

 

 

 

 

克里宁的砂岩分类方案(1948

 

 

 

 

 

 

 

 

 

 

 

 

          

福克的砂岩分类方案

2.四组分体系

                  主要介绍Gilbert(1955)的砂岩分类和Pettjohn(1975)的分类

 

 

 

 

 

 

 

 

 

 

 

Gilbert(1955)的砂岩分类方案

 

 

 

 

 

 

 

 

 

 

 

 

 

 

 

 

 

Pettjohn(1975)的砂岩分类方案

(二)本教材的分类(重点)

 

 

 

 

 

 

 

 

 

 

 

 

 

 

 

教材中的砂岩分类方案

1.  分类的原则和依据

第一,首先必须选择在客观上能免鉴定而又最能联系岩石成因的特征作为分类的依据;

第二,应当考虑分类方案既适用于野外工作,又适用于室内研究。

              2.本教材的砂岩分类

三、石英砂岩类

(一)主要类型

1.  石英砂岩(本节重点)

最突出的特点是石英碎屑占90%以上,含有少量长石和燧石等岩屑,重矿物含量极少,石英大多为单晶石英,大部分石英碎屑常磨得很圆,表面光泽暗淡呈雾状,大小均一,分选良好,缺少泥质。

 

 

 

 

 

 

 

 

 

 

-细粒石英砂岩,铸体薄片,单偏光

2.长石质石英砂岩    

           3.岩屑质石英砂岩

           4.长石岩屑质石英砂岩

(二)实例

(三)成因(本节重点)

石英砂岩是高度成熟度的砂岩,它是风化作用,分选作用和磨蚀作用持续较久和深化的终极产物。

四、长石砂岩类

(一)主要类型

1.  长石砂岩(本节重点)

主要由石英和长石组成,石英含量<75%,长石含量>25%,岩屑含量<25%,含有大的云母碎屑是长石砂岩的特征,重矿物一般比石英砂岩类的含量高,含少量的粘土基质。

 

 

 

 

 

 

 

 

 

 

中粒长石砂岩,单偏光,×50

2.岩屑质长石砂岩

(二)实例

(三)成因(本节重点)

长石砂岩的形成在很大程度上取决于母岩成分,首先要有富含长石的母岩如花岗岩、花岗片麻岩等,这是长石砂岩形成的物质基础。另外,还需要有利于母岩崩解的条件,主要是构造条件和气候条件。

五、岩屑砂岩类

(一)主要类型

1.岩屑砂岩:岩屑砂岩含有丰富的岩屑,在其碎屑含量中,岩屑>25%,长石<25%,石英含量在75%以下。

           2.长石质岩屑砂岩

(二)实例

(三)成因(本节重点)

需要有利于不稳定物质产生和沉积的条件,只有在这种条件下,强烈的物理风化和近源快速堆积,才可使大量母岩的崩解产物得以保存。

六、杂砂岩

(一)一般特征:

杂砂岩一般富含石英,有不同比例的长石和岩屑;

长石主要是斜长石、钾长石少见;

岩屑主要是泥页岩、粉尖岩、板岩、千枚岩、云母岩;

富含基质是杂砂岩的基本特征;

常呈暗灰色或黑色,一般是坚硬的固结良好的砂岩。

(二)主要类型和实例

(三)成因(本节重点)

     典型的杂砂岩通常堆积在急速沉降的地槽中,并且主要是在较老层系的复理式建造中,因此目前不少认为大多数杂砂岩地是海相浊积岩。

七、粉砂岩

(一)一般特征

主要由0.1-0.01mm粒级(含量50%)的碎屑颗粒组成的细粒碎屑岩称粉砂岩;

稳定组分较多,成为较单纯,常以石英为主,长石较少;

重矿物含量比砂岩多;

粘土基质含量一般相当多,碳酸盐胶结物较常见,铁质和硅质较少;

磨圆度不高,和砂岩相比;

水平层理及波状层理、交错层理较少,多为小型的;

(二)分类及主要类型

           1.据粒度分:

            2.据碎屑成分分:

           3.据胶结物成分分:

           4.黄土:粉砂质沉积的典型代表之一,它是一种半固结泥质粉砂岩。

(三)成因

粉砂岩是经过较长距离搬运,在稳定的水动力条件下缓慢沉降形成的,分布极其广泛,几乎在所有的砂—泥质岩系中,都有粉砂岩层或夹层。

八、砂岩的油气储集性能(简介)

九、砂岩的研究方法及意义(自学为主)

    (一)砂岩的研究方法

           1、野外研究

           2、室内研究工作

    (二)研究意义

 

 

第五节 粘土岩(Clayrocks)

学时2学时(其中理论教学1学时、实验1学时)

基本内容

粘土岩的一般特征,粘土岩的分类及其主要类型的特点,粘土沉积物的沉积后变化及其与油气关系。

重点粘土岩的结构与构造,粘土沉积物的沉积后变化及其与油气关系。

难点粘土矿物的结构

教学思路从粘土岩的物理特性讲起,然后介绍粘土岩的矿物成分(复习矿物学中学过的粘土矿物的结构),重点讲解粘土岩的结构、构造与分类、以及粘土沉积物的沉积后变化及其与油气关系,最后简要介绍粘土岩的研究方法。

主要参考书:

①冯增昭主编《沉积岩石学》上册第八章,石油工业出版社,1993.

②曾允孚、夏文杰主编《沉积岩石学》第七章,地质出版社,1986.

③冯增昭等主编《中国沉积学》第四章,石油工业出版社,1994.

何幼斌编《Sedimentary Petrology》(英文辅助教材)第五章,江汉石油学院,2003.

Grim, R. E. ,1986 Clay mineralogy, Mecrew Hill , New York .

Shaw, H. F.,1980 Clay minerals in sediments and sedimentary rocks ,Develop-ments in petroleum geology-2.Applied Science Publishers.

复习思考题

①地壳上分布最的一类沉积岩是哪一类?

试述粘土岩的定义、一般特征及主要物理性质。

试述粘土岩结构、构造及形成条件。

粘土岩如何分类命名?手标本如何定名?

粘土岩成岩作用与石油生成之间的关系如何?

粘土岩的研究方法有哪些?简述各种方法的原理和用途。

教学内容提要

一、概述

(一)  粘土岩的定义

(二)  粘土岩是指粘土矿物含量>50%的沉积岩。

(三)  粘土岩的分布

粘土岩是沉积岩中分布最广泛的一类,约占沉积岩总量的60%,它是重要的生油母岩,我国许多大型油气田的生油岩多是粘土岩,而且它的渗透性极差,可作为油气储集的良好的盖层。

二、粘土岩的主要物理特性(简介)

    包括非渗透性、吸附性、吸水膨胀性、可塑性、耐火性、烧结性、粘结性、干缩性

三、粘土岩的物质成分

(一)粘土矿物(本节重点)

 

 

 

 

 

 

 

 

 

 

 

 

 

 

SiO四面体及Al(Mg)(OOH)八面体结构示意图

 

1. 高岭石族:结构单元层为11型,即由一个硅氧四面体层和一个铝氧八面体层组成。高岭石的晶体一般都很细小,大约为0.01-0.001mm,重结晶后其晶体有时可增大至1mm以上,并呈蠕虫状和手风琴状结晶。

 

 

 

 

 

 

 

 

 

 

自生高岭石,SEM,×1200

          2.埃洛石(多水高岭石)族:埃洛石族有两种主要矿物,即埃洛石和变埃洛石,埃洛石的晶体结构为11型,多呈白色致密块状集合体,相对密度2.1-2.6,埃洛石的外形多呈棒状和针状体。

          3.蒙脱石族:蒙脱石呈白色或灰白色,致密块状者呈蜡状光泽,疏松土状者光泽暗淡,硬度1-2,相对密度2-3,蒙脱石呈细鳞片状,鹅毛状,绒状等。

           4.水云母族:水云母又称伊利石,晶体结构属21型,显微镜下,伊利石常具有弯曲的叶片状轮廓,电子显微镜下,伊利石常呈边界圆滑的鳞片状或带有尖角和直边的片状。

 

 

 

 

 

 

 

 

 

 

 

自生伊利石,SEM,×3300

5.绿泥石族

           6.海泡石族

(二)非粘土矿物

          1.陆源碎屑矿物:主要的是石英、长石、云母及各种副矿物,石英多呈单晶出现,圆度差,边缘较模糊。

          2.化学沉积的自生矿物:主要有铁、锰、铝的氧化物及氢氧化物、含水氧化硅、碳酸盐、硫酸盐、磷酸盐。

(三)有机物质

(四)粘土岩的化学成分

粘土岩的化学成分主要为SiO2AI2O3H2O,在一般粘土岩中,三者总量可达80%以上,其次为Fe2O3FeOMgOCaONa2OK2O等。

四、粘土岩的结构、构造和颜色

(一)粘土岩的结构

1.按颗粒的相对含量可分为:粘土结构、含粉砂粘土结构、粉砂质粘土结构。

2.按粘土矿物的结晶程度及晶体形态可分为:非晶质结构、隐晶质结构、显晶质结构。

(二)粘土岩的构造(重点)

1.宏观构造包括各种层理(如水平层理、块状层理)、各种层面构造(干裂、雨痕、虫迹、结核、晶体印痕)、水底滑动构造、搅混构造。

2.显微构造包括显微鳞片构造、显微毡状构造、显微定向构造。

(三)粘土岩的颜色

粘土岩常见的颜色有红、紫、褐黄、灰绿、灰黑、黑色等。

五、粘土岩的分类

六、粘土沉积物的沉积后变化(重点)

(一)  压实作用

粘土物质沉积后,处于软泥状态,其原始孔隙度高达70-90%,孔隙中饱含着自由水,随埋藏深度的增加,在上覆水体和沉积物负荷的重压下,粘土质点将重新排列,变形或破裂,孔隙水不断排出,原始粘土沉积物孔隙度大大降低,体积缩小,最后被压实固结成为粘土岩。

(二)  粘土矿物的转化作用

高岭石类的粘土矿物在埋藏成岩过程中的转化趋势是转变为蒙脱石,伊利石或绿泥石;

蒙脱石随埋藏深度的增加,蒙脱石即向伊利石转化。

伊利石和绿泥石的转化。

混层粘土矿物的转化。

(三)  粘土矿物的脱水作用

粘土沉积物被埋藏后,在上覆沉积负荷的重压下,首先排出孔隙水,随着埋深的加大,可以排出吸附水,层间水以至结构水。

(四)  粘土沉积物沉积后作用与油气生成的关系

七、粘土岩的研究方法(简介)

(一)野外研究方法

(二)室内研究方法